審美治療・メタルフリー治療
美しさと健康が調和する審美治療
審美治療と聞くと単に「歯を白くする」「見た目をきれいにする」といった、外見上の美しさだけを追求する治療だと、お考えになる方がいらっしゃるかもしれません。
もちろん、自信の持てる美しい口元を実現することは、審美治療の大きな目的の一つです。
しかし、当院が考える審美治療はそれだけにとどまりません。
保険診療が虫歯や歯周病といった「病気」を治し、機能を回復させることを主眼に置いているのに対し、審美治療はその先の「美しさ」と、より高いレベルでの「健康」の両立を目指すものです。
美しい笑顔はその方の人生を、より明るく、豊かなものにする力があると、私は信じています。
その笑顔を一過性のものではなく、永続的で、健康に裏打ちされたものにすること。
それが、当院の審美治療の基本理念です。
当院が考える「真の審美性」

ただ白いだけの、作り物のような歯が本当に美しいと言えるでしょうか。
私たちは真に美しい口元とは、いくつかの要素が高いレベルで調和した状態であると考えています。
機能との調和
審美治療で用いる被せ物や詰め物は美しさだけでなく、食事の際にしっかりと噛める「機能性」を兼ね備えていなければなりません。
噛み合う歯や隣り合う歯との関係を精密に計算し、お口全体のバランスの中で正しく機能する形態を追求します。
周囲の歯や歯ぐきとの調和
治療した歯だけが不自然に白く浮き立っていては、美しい口元とは言えません。
その方の本来の歯の色合い、透明感、形を忠実に再現し、まるで天然の歯のように周囲の歯列に自然に溶け込むことを目指します。
また、被せ物と歯ぐきの境目が黒ずんだり、炎症を起こしたりすることなく、健康的なピンク色を保っていることも美しさの重要な要素です。
生体との調和(身体への優しさ)
お口の中は常に唾液で満たされ、食事の際には温度の変化や、様々な物質に晒される、過酷な環境です。
そのような環境に長期間にわたって置かれる歯科材料は、お口の中だけでなく、全身の健康に対しても安全なものでなければなりません。
当院ではこの「生体との調和」を特に重視し、身体に優しい材料の選択を積極的に行っています。
身体の健康を考えたメタルフリー治療

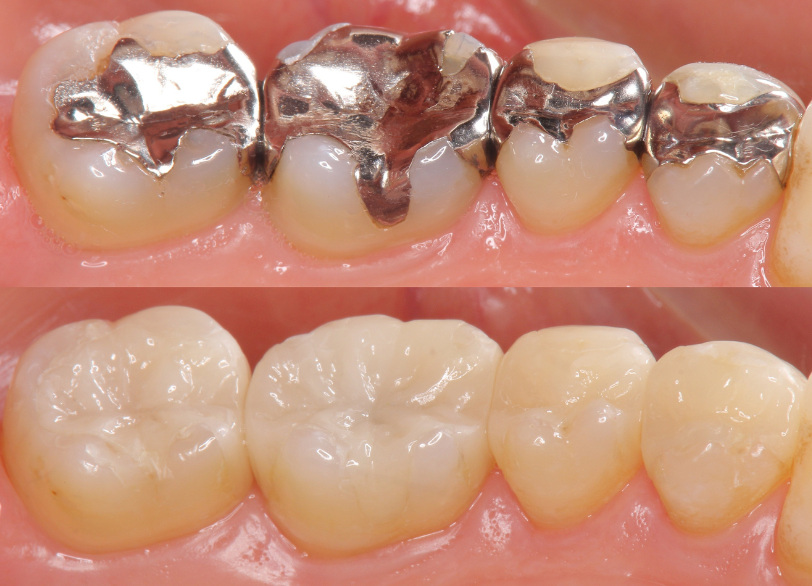
当院の審美治療の大きな柱の一つが、金属を一切使用しない「メタルフリー治療」です。
過去に治療した銀歯(保険診療で一般的に用いられる金銀パラジウム合金)や、アマルガム(水銀を含む古い詰め物)がお口の中に入ってはいないでしょうか。
これらの金属がお口の中だけでなく、全身の健康に予期せぬ影響を及ぼしている可能性が、近年、指摘されています。
お口の中の金属には注意が必要
お口の中の金属は唾液によって、常に腐食のリスクに晒されています。
腐食した金属は微量ながら、イオンという形で溶け出し、体内に吸収され、蓄積していきます。
この溶け出した金属イオンがアレルギー反応を引き起こしたり、様々な体調不良の一因となったりすることがあるのです。
銀歯(金銀パラジウム合金)と金属アレルギー
保険診療で用いられる銀歯にはパラジウムやニッケルといった、金属アレルギーを起こしやすいとされる金属が含まれています。
ピアスなどで皮膚のかぶれを経験されたことがある方もいらっしゃるでしょう。
お口の中でこれらの金属がイオン化し、タンパク質と結合すると身体がそれを「異物」と認識し、アレルギー反応を起こすことがあります。
原因不明の皮膚炎や口内炎が、実はお口の中の銀歯が原因だった、というケースも少なくありません。
アマルガムと水銀の問題
アマルガムはかつて虫歯治療に広く使われていた詰め物で、その成分の約半分が水銀です。
水銀が人体にとって有害な物質であることは、広く知られています。
お口の中のアマルガムは食事の際の摩擦熱などによって、ごく微量の水銀蒸気を発生させると考えられています。
これが長年にわたって、無自覚のうちに体内に吸収され、蓄積していく可能性があるのです。
当院の安全なアマルガム除去

当院ではお口の中のアマルガムが、全身の健康に及ぼす影響を考慮し、その除去を推奨しています。
しかし、除去の際にアマルガムを削ることで、高濃度の水銀蒸気が発生します。
これを患者様や、術者が吸い込んでしまうことのないよう、当院では安全面に配慮した、特別なプロトコルに則って、除去作業を行っています。
安全な除去プロトコル
- ラバーダムの使用
治療する歯以外をゴムのシートで覆い、削りカスや金属片がお口の中に飛散したり、飲み込んだりするのを防ぎます - 口腔外バキュームの使用
強力な吸引力を持つバキュームを患者様のお口の外に設置し、治療中に発生する目に見えない金属の粉塵や、水銀蒸気を瞬時に吸い取ります - 術者・患者様の防護
術者は防毒マスクを着用し、患者様にもお顔を覆うガウンを着用していただくなど、万全の体制で臨みます
原因不明の体調不良でお悩みの方へ
もし、原因が分からずに以下のような様々な症状でお悩みの場合、その一因として、お口の中の金属が関係している可能性も考えられます。
気になる症状があれば、一度、ご相談ください。
金属が関連する可能性のある症状
- 口腔内の症状
口の中のピリピリ感、金属の味、治りにくい口内炎、舌の違和感 - 皮膚の症状
顔や手足、全身の原因不明の湿疹、かゆみ、肌荒れ - 神経・精神症状
頭痛、めまい、疲労感、気分の落ち込み、集中力の低下
ご希望に応じた詰め物・被せ物の種類
当院ではメタルフリーの材料を中心に、患者様のご希望や歯の状態に応じて、様々な種類の詰め物・被せ物をご用意しております。
セラミック治療(メタルフリー)
| 治療名 | 特徴 | 適用部位 |
|---|---|---|
オールセラミッククラウン
|
金属を一切使用せず、全てセラミックだけで作られた被せ物。 天然の歯が持つ自然な透明感と色合いを極めて忠実に再現。 金属アレルギーの心配がなく、歯ぐきの黒ずみも起こらない。 |
前歯に最適 |
ジルコニアクラウン
|
「人工ダイヤモンド」とも呼ばれる非常に硬いジルコニア素材を使用。 圧倒的な強度で強い力がかかる奥歯にも安心。 色調も自然で美しく、長期間にわたり安定。 |
奥歯に最適 |
セラミックインレー
|
比較的小さな虫歯を修復するセラミック製の詰め物。 保険の銀歯と異なり白く自然な見た目で、材質の劣化や変色が少ない。 歯と精密に接着するため、二次的な虫歯のリスクも低い。 |
奥歯の小さな虫歯 |
その他の審美修復
| 治療名 | 特徴 | 適用・ポイント |
|---|---|---|
メタルボンドクラウン
|
内側は金属、外側はセラミックで作られた被せ物。 内面の金属により高い強度を持ち、長期的な使用にも耐える。 ただし、歯ぐきが下がると金属部分が黒く見える場合がある。 |
前歯・奥歯いずれにも使用可能(強度を重視する方に) |
スマイルデンチャー
|
金属のバネを使わない部分入れ歯。 薄く・軽く・弾力のある素材で、装着感が良く自然な見た目。 入れ歯であることが目立ちにくく、インプラントが難しい方にも最適。 |
部分欠損の補綴治療(審美性を重視する方に) |
お口の健康は、全身の健康の入り口です。
私たちは単に歯を治療するだけでなく、その先にある患者様の豊かな人生に貢献できる歯科医療でありたいと、心から願っています。
097-582-2200